Eine internationale Multicenter-Studie mit Beteiligung der Universitätsklinik für Gefässchirurgie Bern und elf weiteren europäischen Gefässzentren hat die Behandlung einer seltenen Erkrankung der Hauptschlagader untersucht: dem penetrierenden Aortenulkus.
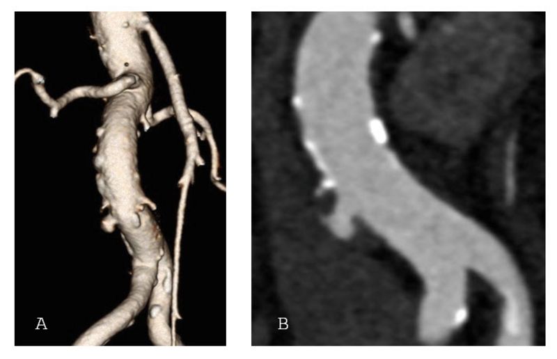
Ein penetrierendes Aortenulkus ist ein Defekt der inneren Gefässwand der Hauptschlagader, verursacht durch Arteriosklerose. Dabei dringt die Gefässverkalkung durch die innere Schicht der Aorta ein und kann zu Aussackungen oder sogar zu einem Riss (Ruptur) führen.Im Gegensatz zu einem Aortenaneurysma, das eine Aufweitung der gesamten Arterie beschreibt, handelt es sich bei einem Aortenulkus um einen lokalisierten Defekt der Gefässwand. Besonders im Bereich unterhalb der Nierenarterien ist diese Erkrankung bisher wenig erforscht.
In der Studie wurden 260 Patientinnen und Patienten zwischen 2018 und 2022 behandelt. Das Durchschnittsalter betrug 74 Jahre, die Mehrheit war männlich. Bei rund drei Vierteln der Patientinnen und Patienten wurde das Aortenulkus zufällig entdeckt, bei einem Viertel hingegen aufgrund akuter Beschwerden wie Bauchschmerzen oder gar einer Ruptur diagnostiziert. Fast alle Patientinnen und Patienten erhielten eine endovaskuläre Therapie, also eine Behandlung über Katheter und Stentprothesen ohne Bauchschnitt. Nur einzelne mussten offen operiert werden.
Die Ergebnisse sind ermutigend: In über 99 % der Fälle konnte die Behandlung technisch erfolgreich abgeschlossen werden, und die Sterblichkeit innerhalb von 30 Tagen lag bei lediglich 1,5 %. Komplikationen waren selten und traten vor allem bei Patientinnen und Patienten auf, die wegen akuter Beschwerden oder einer Ruptur notfallmässig behandelt werden mussten. Begleiterkrankungen wie eine chronische Lungenerkrankung erhöhten ebenfalls das Risiko für Komplikationen.
Die Studie zeigt klar: Die endovaskuläre Versorgung stellt heute den Standard in der Behandlung infrarenaler Aortenulzera dar. Sie bietet eine sichere, schonende und wirksame Therapie – selbst bei komplexen Gefässveränderungen.
Quelle:
Becker D, Tsilimparis N, Veraldi GF, Bruno S, Kruszyna L, Passaloglou I, Oberhuber A, Ali AA, Garabet W, Schelzig H, Pratesi G, Walensi M, Hoffmann JN, Fazzini S, Dias N, Kölbel T, Kotelis D, Stana J. International Multicentre Study on the Treatment of Infrarenal Penetrating Aortic Ulcers. Eur J Vasc Endovasc Surg. 2025; in press. doi:10.1016/j.ejvs.2025.08.063

